キンギョを飼育していると、徐々に体の鱗(うろこ)が開き始め、まるで松ぼっくりのような姿になりそのまま衰弱していく通称”松かさ病”が見られることがあります。
松かさ病は一度罹ると治癒が難しく、多くの飼育者様を悩ませている魚の病気になります。
ジェックスラボラトリーは、松かさ病の発病原因を明らかにするため、東海大学 泉庄太郎教授と共同研究を行っております。
松かさ病を発症したキンギョから細菌をサンプリングしどのような細菌に感染しているのか、キンギョの体内ではどのような異変が起きているのかを調べました。
図1.松かさ病を発症したランチュウ
その結果、鱗の基底部にある鱗嚢(りんのう)に水が溜まり浮腫が起きている様子や、腎臓での異変、また卵巣や鰓でもそれぞれ異常が確認できました。
また、ほとんどの松かさ病キンギョの筋肉や腎臓から運動性エロモナス属菌の一種であるAeromonas veroniiが確認されました。
しかし、その菌が確認できない疾病魚も存在し、研究を継続する必要があります。
魚病の教科書には松かさ病について運動性エロモナス属菌の一種であるAeromonas hydrophilaが原因菌とされていますが、松かさ病発症キンギョからA.hydrophilaが確認されなかった例があり、いまだにはっきりとした原因が分かっていません。
また、近年では国内において松かさ病の研究がほとんど行われていません。
ジェックスラボラトリーでは、松かさ病だけではなく、愛魚が病気で苦しまない商品開発につなげるため、今後も研究を続けてまいります。
本研究は、令和7年度日本水産学会秋季大会にて発表しました。発表内容を下記に紹介します。
概要
水産事業においては多くの魚病が知られており、近年でも治療、予防のための研究が積極的に行われています。しかし、キンギョをはじめとする観賞魚の分野では市場が小さいこともあり、研究事例が少ないのが現状です。特に鱗が逆立った姿から松かさ病(立鱗病)と呼ばれる魚病については、運動性エロモナス属細菌のAeromonas hydrophila等由来の魚病だとされていますが、発症原因に不明な点も多いです。そこでジェックスは観賞魚飼育用品メーカーとして松かさ病の原因を明らかにするため、病理組織学的観察を実施しました。
研究方法と結果
奈良県Y市にあるキンギョの養魚場から松かさ病発症個体をサンプリングし、麻酔処理後、解剖、各組織の観察を実施しました。筋肉、腎臓、腹腔内液から培地を用いて菌を単離し16SrRNAシーケンス解析により菌種の同定を行いました。また筋肉、腎臓は各種薬品・パラフィンを用いて固定し、組織切片を作成し顕微鏡での観察、健全魚との比較を行いました。
結果、各組織から単離した菌種はキンギョの個体によって異なりましたが、運動性エロモナス属細菌のA. veroniiが多い傾向にありました。しかし、A. veronii株の中でも供試個体により遺伝子配列に変異が見られ、今後の研究でさらに詳細な分類が必要になる可能性が示唆されました。
また、病理組織切片を観察すると体表では鱗嚢浮腫が確認され、腎臓では腎小体や細尿管の異常がみられました。(図2,3)
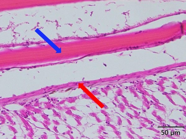
図2.松かさ病キンギョの体表で見られた鱗嚢浮腫
青矢印:鱗 赤矢印:体表 鱗と体表の隙間が目立つ(HE染色、顕微鏡倍率×400)
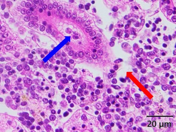
図3.松かさ病キンギョの腎臓で見られた異常
青矢印:再尿管内の異物 赤矢印:腎臓内組織での浮腫のようなもの
(HE染色、顕微鏡倍率×400)
他にも卵巣や鰓での異常も確認できました。(図4,5)
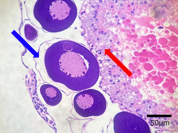
図4.松かさ病キンギョの卵巣で見られた異常
青矢印:一次卵母細胞の莢膜細胞の剥離 赤矢印:二次卵母細胞の莢膜細胞の重層化
(HE染色、顕微鏡倍率×400)
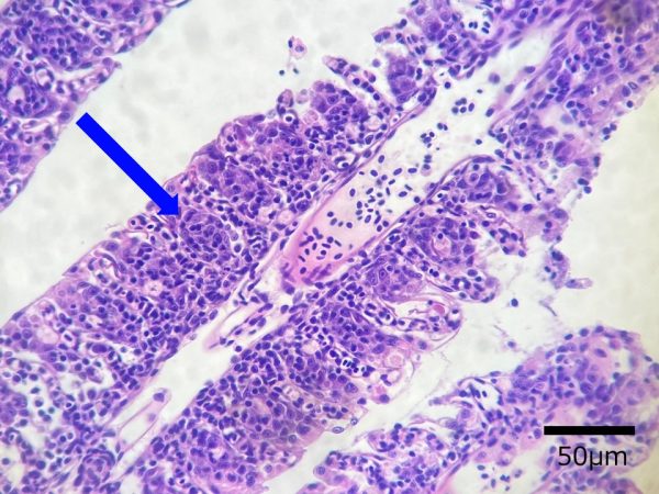
図5.松かさ病キンギョの鰓で見られた異常
青矢印:二次鰓弁の棍棒化(HE染色、顕微鏡倍率×400)
今後の展望
引き続き松かさ病発症個体のサンプリングを継続し、詳細な感染菌の特定を行う予定です。
また、水温や水質などの外部要因を絡めた松かさ病の再現を確認し、予防・治療に有効な商品開発に向けた検討を加速させていきます。

図6.学会での発表の様子
*(株)富士経済「2023年ペット市場マーケティング総覧」水槽/周辺器具/水質調整剤 トータル・メーカーシェア 2022(実績)
新着記事
-
ヒーター購入応援キャンペーン2025 -
横浜市の小学校でアクアリウムを通じた出張授業を行いました【SDGsへの取り組み】 -
10/18(土)・19(日)に 新宿住友ビル・三角広場(東京都)にて開催されます「AQUARIUM TOKYO NATURE 2025(アクアリウム東京ネイチャー2025)」に出展します。 -
IoT技術でアクアリウムをもっと身近に 未来水槽 -
GEX アクア レイアウトカーニバル2025 投票開始! -
9/28(日)にモレラ岐阜ゴールデンゲート東口屋外特設会場(岐阜県)にて開催されますメダカイベント「泰平 TAIHEI」に出展します。 -
9/28(日)に東京都立産業貿易センター浜松町館5F(東京都)にて開催されます「REEF FESTA」に出展します。 -
金魚川柳 第13回 結果発表! -
【募集中】MeGreenワークショップ 8/30(土)~31(日) アクアリウムフェアin二子玉川(東京都) -
8/21(木)~23(土)に幕張メッセ国際展示場5~8ホール(千葉県)にて開催されます「第61回 JAPAN DIY HOMECENTER SHOW 2025」に出展します。 -
8/30(土)~31(日)に二子玉川ライズ ガレリア(東京都)にて開催されます「2025 アクアリウムフェア」に出展します。 -
堺市教育委員会とのタイアップで、堺市立長尾中学校にて職業講話の講師を務めました【SDGsへの取り組み】
人気記事
- 1週間
- 1カ月
-
金魚がひっくり返る!転覆病の治療方法、予防方法について -
【2022年最新】水槽が白く濁る…一番多い原因とすぐにできる対処法 -
金魚の体に白い点が!白点病の原因や治療法について解説します -
水槽に繁殖したサカマキガイの駆除は、ラクラク3ステップで! -
松かさ病は他の魚にうつる?原因と予防、治療方法について -
これで分かる!水槽用ヒーターのワット数と水槽サイズの関係 -
はじめてでも大丈夫!水槽用ヒーターの設置の仕方 -
水槽の白濁りを解決したいあなたに!4つの対策と原因をご紹介 -
お悩み解決!~フィルターだけでも酸素って供給されているの!?~ -
【金魚】金魚の鼻上げについて考えてみよう! -
旅行で家を空ける…お魚は大丈夫? -
ベタ飼育のポイントと注意点
-
金魚がひっくり返る!転覆病の治療方法、予防方法について -
キンギョにおける”松かさ病”について、原因菌の特定と病理組織学的に調べた内容を学会で発表【GEX Lab.より】 -
【2022年最新】水槽が白く濁る…一番多い原因とすぐにできる対処法 -
金魚の体に白い点が!白点病の原因や治療法について解説します -
水槽に繁殖したサカマキガイの駆除は、ラクラク3ステップで! -
これで分かる!水槽用ヒーターのワット数と水槽サイズの関係 -
松かさ病は他の魚にうつる?原因と予防、治療方法について -
はじめてでも大丈夫!水槽用ヒーターの設置の仕方 -
水槽の白濁りを解決したいあなたに!4つの対策と原因をご紹介 -
お悩み解決!~フィルターだけでも酸素って供給されているの!?~ -
【金魚】金魚の鼻上げについて考えてみよう! -
ベタ飼育のポイントと注意点